La fractura por tensión (llamada también fractura por fatiga) es el debilitamiento o una rajadura delgada en un hueso provocada por tensión repetitiva en el hueso. Una fractura por tensión es una lesión por uso excesivo. Es distinta a una fractura que se produce luego de un evento traumático, tal como una caída. Las fracturas por tensión son más comunes en atletas que practican deportes de resistencia o en aquellos que realizan actividades repetitivas de alto impacto.
Factores de riesgo para fracturas por tensión
Con un nivel suficiente de tensión en el hueso, cualquiera puede desarrollar una fractura por tensión. Sin embargo, existen factores de riesgo adicionales relacionados al individuo y al patrón de entrenamiento que pueden aumentar el riesgo de desarrollar una fractura por tensión.
Factores de riesgo individuales
- Ingesta inadecuada de calorías; ingesta inadecuada de calcio.
- Niveles bajos de estrógeno en mujeres; disfunción menstrual.
- Bajo peso; pérdida rápida de peso.
- Etnia. Los atletas blancos pueden tener mayor riesgo.
- Malformaciones biomecánicas. Un pie con un arco más alto es más rígido y transmite más tensión al hueso; un pie plano provoca más demanda y fatiga de los músculos protectores lo que resulta en una absorción menor del impacto por parte de los músculos.
- Fractura por tensión previa. Esto es un riesgo dado que puede incluir una combinación de muchos de los otros factores de riesgo.
Factores de riesgo de entrenamiento
Demasiado, muy pronto, muy rápido. Un aumento rápido general en la actividad - especialmente en actividades de alto impacto - no permite el tiempo adecuado para que los huesos se adapten al aumento en los niveles de tensión.
Superficies duras. Correr y saltar en calles; concreto; suelos duros de gimnasios; o campos secos, compactos y duros puede aumentar el riesgo de una fractura por tensión - especialmente si el atleta no está acostumbrado a entrenar en dichas superficies.
Calzado inadecuado. La capacidad de absorción del impacto de los zapatos disminuirá incluso antes de que el zapato se vea gastado. Algunos tipos de pie necesitan más soporte que el que proporciona el zapato que se utiliza para el deporte, y algunos tipos de pie necesitan más amortiguamiento. Esto es particularmente cierto con zapatos con tachones, los cuales, por lo general, tienen un soporte para el arco y amortiguamiento limitado.
Síntomas
El síntoma principal de una fractura por tensión es dolor que se desarrolla lentamente en el hueso, empeora con actividad de impacto y desaparece con el reposo. Con la actividad continua, el dolor se agudiza, se centra en un punto y persiste. En ocasiones, puede sentirse una protuberancia en el área. Cojear también puede ser un indicador de una fractura por tensión.
Los puntos comunes para fracturas por tensión incluyen la tibia (espinilla), fíbula (hueso en la parte exterior de la parte baja de la pierna) y metatarsos (huesos en el antepié). Las fracturas por tensión menos comunes ocurren en el fémur (hueso del muslo), pelvis, columna vertebral, y extremidad superior. La sospecha de una fractura por tensión le advierte consultar al médico. El dolor en los huesos debido a otras causas, tales como quistes óseos, infección y tumores también deben descartarse.
Pruebas
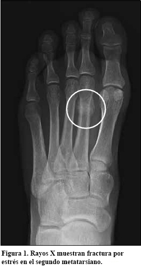
Para confirmar una fractura por tensión, puede que su médico le ordene una radiografía (ver Figura 1). Si la radiografía no muestra una fractura por tensión, puede necesitar realizar una gammagrafía ósea (ver Figura 2) o una resonancia magnética (IRM).


Tratamiento
Durante la primera fase del tratamiento, por lo general, para los atletas es suficiente limitar la actividad de impacto. Algunas fracturas por tensión pueden requerir yeso, muletas, o cirugía. La mayoría de atletas pueden continuar levantando pesas, nadando, montando bicicleta o usando una elíptica siempre y cuando no haya dolor. Hielo, acetaminofén, y reposo son los principales tratamientos para el dolor. En general, los medicamentos antiinflamatorios sin esteroides (NSAID), como ibuprofeno y naproxeno, no se recomiendan debido a que pueden retrasar la curación. Los problemas biomecánicos, nutricionales, y menstruales deben abordarse durante el tratamiento para ayudar a que el atleta se cure. Esto puede ayudar a prevenir que ocurran futuras fracturas por tensión.
El tiempo de curación depende de la edad del atleta, de cuánto tiempo haya estado presente la fractura, cuál hueso esté afectado y la condición del hueso. El marco de tiempo para la curación es usualmente de semanas a meses. Es vital que los médicos den seguimiento a la curación de las fracturas por tensión de los atletas y que aprueben un nivel de actividad que sea seguro para el nivel de curación presente.
Puede documentarse la curación completa mediante la resolución de la sensibilidad del hueso y evidencia de la curación mediante una radiografía. Una vez que su médico determine que el hueso se ha curado lo suficiente, puede reiniciar con actividades como correr y saltar de manera gradual. La fase final es retomar progresivamente el juego con sesiones de práctica, línea de ataque, y por último, juegos o encuentros.
Prevención
Pregunte a su médico como evitar fracturas por tensión durante los exámenes anuales o previos a la participación. Puede abordar temas de nutrición, directrices de ejercicios, calzado adecuado y suplementos (como vitamina D y calcio). Si existen otros factores de riesgo, tales como menstruación irregular en atletas mujeres, esto puede evaluarse o tratarse - previo a que se desarrolle una fractura por tensión. Estar consciente de las señales iniciales de advertencia de una fractura por tensión puede ayudar a reducir las lesiones.